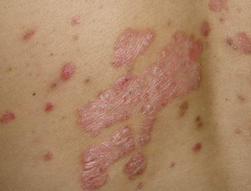
1、因为引起牛皮癣的原因很多。 要彻底治愈疾病,患者应选择正确的诊治方法,从诊治的各个方面综合考虑。
2、由内而外的诊治由内而外的诊治也是牛皮癣患者应该遵循的诊治原则。牛皮癣虽然是一种发生在患者体表的疾病,但其主要病因还是在患者体内,因此诊治不能通过简单的吃药、涂抹药来消除体表过敏症状来消除疾病,但应针对疾病 由内而外综合诊治,使细胞新陈代谢正常,综合诊治牛皮癣症状。

3.巩固诊治银屑病的反复发作是很多患者所熟知的。因此,患者在诊治过程中应注意巩固诊治。患者在诊治期间不应盲目中断诊治,而应根据自身情况进行相应的巩固一段时间,同时配合一定的理疗,进一步清除体内的病毒。
以上总结就是诊治牛皮癣应遵循的科学原则。大家对疾病的认识应该有所提高。专家们还宣称,牛皮癣的诊治方法正在更新换代,诊治效果也在不断提高。好转,希望广大患者不要悲观,只要按照好的诊治步骤,牛皮癣的危害就会大大降低!
相关内容:
温馨提示:如果您想了解更多关于牛皮癣相关资讯,请点击咨询 治疗牛皮癣医院在线客服,我们将给出您专业的意见,并为您提供专业治疗牛皮癣方案!
在线咨询询问价格
海口肤康牛皮癣是一所专业从事皮肤病医院.多年来为发友们解决皮肤性问题烦恼!
节假日不休息
门诊时间: 08:00-21:00
医院地址:海口市美兰区海府路97号
医院24小时电话:0898-65333100
咨询预约热线:0898-65333100
微信
拿出手机扫一扫
牛皮癣费用优惠尽在手中
小程序
拿出手机扫一扫
牛皮癣费用优惠尽在手中