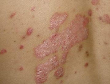
1、牛皮癣的早期症状:牛皮癣的初期症状为红色丘疹或斑丘疹,逐渐扩大或融合成片状,鲜红色或暗红色,高出皮肤,底部浸润明显,边缘清晰,周围有炎性红肿 ,并在表面覆盖多层灰白色或银白色鳞片,轻轻刮去表面鳞片,逐渐露出一层浅红色有光泽的半透明薄膜。

2、牛皮癣的早期症状:牛皮癣的初期症状为针头状或绿豆大小的丘疹,逐渐扩大。刮去表面鳞片,露出一层淡红色有光泽的半透明薄膜,称为薄膜现象,再刮去薄膜,会出现细小的出血点。在银屑病的发展过程中,皮损的形态可表现为多种形式。 急性期皮损多呈水滴状,鲜红色,瘙痒明显。 静止期病变常呈斑块状或地图样。消退期皮损常呈环状或半环状。 少数皮疹上的鳞屑较厚,有时堆积如牡蛎壳。
温馨提示:牛皮癣的早期症状有哪些? 希望以上介绍可以帮助大家了解牛皮癣的初期症状。 在此,我们建议广大牛皮癣患者做好预防工作,不要等到病情严重了再去诊治。 祝你早日康复。
相关内容:
温馨提示:如果您想了解更多关于牛皮癣相关资讯,请点击咨询 治疗牛皮癣医院在线客服,我们将给出您专业的意见,并为您提供专业治疗牛皮癣方案!
在线咨询询问价格
海口肤康牛皮癣是一所专业从事皮肤病医院.多年来为发友们解决皮肤性问题烦恼!
节假日不休息
门诊时间: 08:00-21:00
医院地址:海口市美兰区海府路97号
医院24小时电话:0898-65333100
咨询预约热线:0898-65333100
微信
拿出手机扫一扫
牛皮癣费用优惠尽在手中
小程序
拿出手机扫一扫
牛皮癣费用优惠尽在手中