海口去哪里看牛皮癣好-指甲型牛皮癣怎样治

发表时间:2023-03-20 __来源: 海口肤康银屑病专科医院
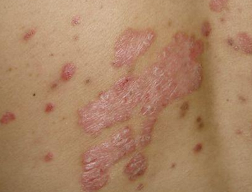
  指甲牛皮癣是一种更严重的牛皮癣。 患病后,患者的指甲表面会出现红色斑点,并有银白色鳞屑。 这种疾病会复发并影响指甲。 颜色和形状。 指甲牛皮癣比较严重,那么临床上应该如何治指甲牛皮癣呢? 患者朋友们在诊治的过程中一定要注意一些事项,这样才能诊治指甲牛皮癣,下面就为大家详细介绍一下。
 
  1、指甲牛皮癣在日常生活中很常见。 患者一定要注意指甲的保养。 指甲牛皮癣患者在诊治过程中,一定要注意指甲卫生,而牛皮癣是一种非常常见的皮肤病。
 
  2、指甲牛皮癣如果不及时诊治,指甲牛皮癣会越来越严重,还会导致指甲厚度变薄,指甲的生长速度会越来越慢 指甲牛皮癣患者在诊治过程中,一定要注意指甲的清洁和卫生,以免指甲牛皮癣反复发作。
 
 
  3、指甲牛皮癣是一种顽固性疾病,患者一定要及时诊治。 在此期间,患者朋友们一定要积极配合医生进行诊治。患者朋友可以多吃富含维生素A的食物,如新鲜蔬菜、水果等,可以补充人体所需的维生素。
 
  海口肤康医院自建院来始终秉承“专业、专长、专注皮肤病”的理念,不断加强医院的皮肤病诊疗水平,注重临床诊治效果,保障市民皮肤健康,同时吸引了华南乃至港、澳、台等地区的皮肤病患者慕名求医,是我省皮肤病诊治事业排头兵。
 

相关内容

温馨提示:如果您想了解更多关于牛皮癣相关资讯,请点击咨询 治疗牛皮癣医院在线客服,我们将给出您专业的意见,并为您提供专业治疗牛皮癣方案

在线咨询询问价格

您现在处于


  • 刚有症状
    还未明确

  • 想去检查
    还没行动

  • 上网了解
    寻求指导

  • 想要解决
    问问医生

  • 因人而宜
    个性定制

  • 明确情况
    预约挂号
百度十下不如 在线咨询一下

海口牛皮癣专科医院

牛皮癣专科
海口肤康牛皮癣是一所专业从事皮肤病医院.多年来为发友们解决皮肤性问题烦恼!
温 馨
365服务

节假日不休息
门诊时间: 08:00-21:00

牛皮癣患者都在搜索的内容

联系我们

医院地址:海口市美兰区海府路97号

医院24小时电话:0898-65333100

咨询预约热线:0898-65333100

牛皮癣价格费用

微信
拿出手机扫一扫
牛皮癣费用优惠尽在手中

牛皮癣价格费用

小程序
拿出手机扫一扫
牛皮癣费用优惠尽在手中

琼ICP备16000985号-6 科普文章不能作为诊断及医疗的依据,就医请遵照牛皮癣医生诊断。(海)医广【2023】第021号