女性牛皮癣如何高效诊治-海口治牛皮癣医院有哪些

发表时间:2023-03-30 __来源: 海口肤康银屑病专科医院
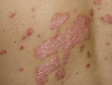
  女性牛皮癣是一种常见的自身免疫性皮肤病,通常会表现为红色、厚实的皮肤病斑和白色鳞屑等症状。对于受到该疾病影响的女性来说,该疾病可能会对她们的外貌和自尊心造成重大影响。但是有几种方法可以帮助减轻症状和持续管理疾病。
 
  首先,对于女性牛皮癣患者而言,减轻症状的方式是通过日常护理来实现。保持身体健康并遵循健康的饮食习惯是关键。此外,保持皮肤保湿同样非常重要。女性患者可以选择润肤乳液、椰子油、酪梨油和其他保湿成分丰富的产品保护自己的皮肤。
 
 
  另外,温和而高效的自然疗法对于管理女性牛皮癣症状同样高效。比如日光浴和被称为“爆卡式”的诊治法,可以通过将皮肤暴露于日光下,然后在几分钟内使用泉水、柠檬汁、食用盐和维生素E等成分进行诊治,来减轻症状。
 
  一些针对牛皮癣的医学研究表明,一些好的效果较好的诊治方法同样带来了很好的效果。例如,通过消除糖和麸质的饮食,减少牛皮癣症状发生的概率。因为糖分和麸质会导致炎症和其他自身免疫性疾病的发生。
 
  总之,对于女性牛皮癣患者而言,日常护理、自然疗法和医学研究中发现的天然诊治方法,组合使用可以帮助控制症状,并持续管理疾病的影响。
 
  海口肤康医院是经过卫生部门批准的医院,院内有皮肤病绿色通道,皮肤病热线一对一服务,欢迎广大患者前来咨询皮肤病相关事宜。

相关内容

温馨提示:如果您想了解更多关于牛皮癣相关资讯,请点击咨询 治疗牛皮癣医院在线客服,我们将给出您专业的意见,并为您提供专业治疗牛皮癣方案

在线咨询询问价格

您现在处于


  • 刚有症状
    还未明确

  • 想去检查
    还没行动

  • 上网了解
    寻求指导

  • 想要解决
    问问医生

  • 因人而宜
    个性定制

  • 明确情况
    预约挂号
百度十下不如 在线咨询一下

海口牛皮癣专科医院

牛皮癣专科
海口肤康牛皮癣是一所专业从事皮肤病医院.多年来为发友们解决皮肤性问题烦恼!
温 馨
365服务

节假日不休息
门诊时间: 08:00-21:00

牛皮癣患者都在搜索的内容

联系我们

医院地址:海口市美兰区海府路97号

医院24小时电话:0898-65333100

咨询预约热线:0898-65333100

牛皮癣价格费用

微信
拿出手机扫一扫
牛皮癣费用优惠尽在手中

牛皮癣价格费用

小程序
拿出手机扫一扫
牛皮癣费用优惠尽在手中

琼ICP备16000985号-6 科普文章不能作为诊断及医疗的依据,就医请遵照牛皮癣医生诊断。(海)医广【2023】第021号