海口市治牛皮癣医院那个好-牛皮癣的潜在危机有哪些

发表时间:2023-04-01 __来源: 海口肤康银屑病专科医院
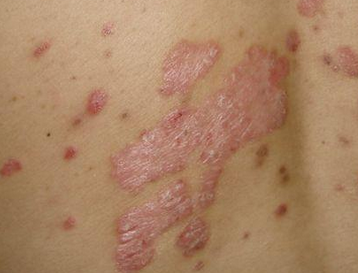
  皮肤病的起源很简单,但有的是一触即发,有的是经过较长的潜伏期才发病。当你的生活在皮肤管理上漏洞百出,这时正是它的出击时刻,你的皮肤将无法保持原有的健康状态,所以在生活中一定要注意饮食等方面。
 
  那么,共同因素主要有以下四个方面
 
  1.饮食问题
 
  牛皮癣患者一般喜欢吃肉类食物,如蟹、虾、羊肉等,有的喜欢吃辛辣等刺激性食物。喝酒是家常便饭,这几乎是所有牛皮癣患者的共识。因此,我们在日常生活中要尽量少吃,以免因饮食不当而引起牛皮癣的发生。
 
 
  2.外伤感染
 
  外伤感染是诱发银屑病发病的重要因素,尤其是患者感冒后并发扁桃体炎、气管炎等。外伤感染是银屑病的重要诱发因素之一,尤其是儿童。据报道,在银屑病患者中,90%以上患有慢性扁桃体炎,49.5%以上是扁桃体急性炎症后出现银屑病。
 
  3.皮肤过敏
 
  皮肤过敏是诱发牛皮癣的重要因素。由于饮食过敏、药过敏和其他接触性过敏原诱发牛皮癣的情况并不少见。还会引起皮肤瘙痒,更严重的患者还会出现红斑,都是皮肤过敏引起的,因为每个人的情况不一样,我们应该尽量避免接触那些容易让我们过敏的过敏原,减少牛皮癣的发生
 
  4.精神因素
 
  人们早就认识到皮肤是人体内在心理活动的表现器官之一,过度的精神压力是银屑病发病和恶化不可忽视的诱因。研究发现,过度烦躁、神经质、情绪抑郁等精神因素都间接导致了银屑病的发作或复发。在此温馨提醒一下,过度劳累会诱发牛皮癣的加重,希望能引起大家的重视。
 
  饮食习惯要清淡,不要太咸太辣,刺激性食物不要太多,注意环境。牛皮癣患者不宜在潮湿或过于干燥的环境中停留时间过长。情况要及时调整,不要让自己的病情失控。
 
  海口肤康医院皮肤专业学科建设较全,医师团队经验丰富,临床科室较全,可开展常见皮肤病、区域高发皮肤病、皮肤疑难病、职业皮肤病等临床诊治。

相关内容

温馨提示:如果您想了解更多关于牛皮癣相关资讯,请点击咨询 治疗牛皮癣医院在线客服,我们将给出您专业的意见,并为您提供专业治疗牛皮癣方案

在线咨询询问价格

您现在处于


  • 刚有症状
    还未明确

  • 想去检查
    还没行动

  • 上网了解
    寻求指导

  • 想要解决
    问问医生

  • 因人而宜
    个性定制

  • 明确情况
    预约挂号
百度十下不如 在线咨询一下

海口牛皮癣专科医院

牛皮癣专科
海口肤康牛皮癣是一所专业从事皮肤病医院.多年来为发友们解决皮肤性问题烦恼!
温 馨
365服务

节假日不休息
门诊时间: 08:00-21:00

牛皮癣患者都在搜索的内容

联系我们

医院地址:海口市美兰区海府路97号

医院24小时电话:0898-65333100

咨询预约热线:0898-65333100

牛皮癣价格费用

微信
拿出手机扫一扫
牛皮癣费用优惠尽在手中

牛皮癣价格费用

小程序
拿出手机扫一扫
牛皮癣费用优惠尽在手中

琼ICP备16000985号-6 科普文章不能作为诊断及医疗的依据,就医请遵照牛皮癣医生诊断。(海)医广【2023】第021号